Эхинококк

Паразитарные заболевания в течение долгого времени не проявляются явно, нанося непоправимый вред здоровью. Эхинококк — гельминт, который становится причиной необратимых изменений печени, почек, легких, сердца и токсического поражения организма в целом. Его выявление затруднено, а профилактика и лечение требуют комплексного подхода и системности. Однако, зная симптомы эхинококкоза у человека, особенности развития и течения болезни, наиболее прогрессивные способы выявления паразита и восстановления здоровья, можно избежать огромного вреда, который он причиняет.

Содержание

1. Гельминты — неочевидная опасность

2. Эхинококк и заболевания, которые он вызывает

2.1. Эхинококк как возбудитель заболевания

2.2. Как эхинококк передается от носителей человеку

2.3. Механизм и пути заражения эхинококком

3. Эхинококкоз и причины поражения организма

4. Клинические проявления эхинококкоза

4.1. Стадии и особенности эхинококкоза

4.2. Эхинококкоз печени

4.3. Эхинококкоз легких

4.4. Эхинококкоз мозга

4.5. Эхинококкоз почек

5. Характерные симптомы эхинококкоза и способы выявления паразита в организме

5.1 Определение присутствия эхинококка в организме по симптомам

5.2 Прогрессивная инструментальная диагностика эхинококкоза

6. Комплексные противопаразитарные препараты — профилактическое и восстанавливающее воздействие и борьба с эхинококком


1. Гельминты — неочевидная опасность

Всемирная ассоциация здравоохранения собрала и систематизировала данные о заражении людей гельминтами, выяснив, что в мире 10 миллионов человек ежегодно становятся их жертвами. В Европе черви-паразиты, в том числе эхинококк, присутствуют в организме каждого третьего человека. Россия регистрирует около 2 миллионов подобных заболеваний в год, но специалисты высказывают мнение, что это число существенно занижено. Проблема диагностики эхинококкоза, его лечения и профилактики стоит остро и осложняется трудностями выявления. До 95% пациентов даже не подозревают об опасности, которая непосредственно им угрожает, а врачи не рассматривают гельминтов как источник симптомов.

foto ehinokokka-76x170.jpg

Эхинококк фото


В организме у человека эхинококк (возбудитель заболевания) и другие гельминты долгое время присутствует неявно, и люди годами могут жаловаться на ухудшенное самочувствие, не подозревая об истинных причинах проблем. «Маскируясь» под сезонные простуды, аллергические реакции, воспаления, паразиты не выявляются в ходе традиционных исследований. Сдать анализ на эхинококк — очевидная мысль, но проблема состоит в том, что ни один привычный лабораторный метод не даст гарантированно надежного результата. Это связано со спецификой проникновения гельминтов в организм людей. Хоть человек и промежуточный хозяин эхинококка, инвазия паразита наносит здоровью огромный вред — механический и химический. Гельминт:

  • находит способы проникновения в организм и размножения в нем (плодовитость эхинококка велика);
  • локализуется и закрепляется в органах, наиболее подходящих для роста, размножения и паразитирования эхинококка;
  • проходит несколько стадий развития, вызывая эхинококкоз в различных формах — то, чем опасен эхинококк для человека;
  • выводит из организма яйца, личинки естественным путем — так один человек становится причиной заражения других.

ehinokokk v myase.jpg

эхинококк в мясе

Связанные с эхинококком болезни поначалу проявляют себя как недуги совершенно иного медицинского «профиля». Поэтому врачи выявляют максимум 20% случаев заражения гельминтом. В остальных 80% паразит не обнаруживается, вызывая токсико-аллергические поражения органов, имеющих жизненно важное значение. Возбуждаемые эхинококком заболевания, по данным ВОЗ, неправильно диагностируются в 70% случаев, к тому же:
  • эхинококк у человека традиционные лабораторные исследования не выявляют оперативно и достоверно, так как паразиты оказывают разнонаправленное вредоносное воздействие;
  • выявленные симптомы эхинококка в 90% случаев диагностируют как онкологию и направляют усилия в «противоположную» сторону, не устраняя истинных причин заболевания;
  • большинство практикующих врачей не имеют опыта лечения эхинококкоза;
  • даже при удачной диагностике эхинококка однократный прием противогельминтных препаратов не освобождает организм от них полностью — в теле остаются цисты и другие формы, вызывающие новые вспышки заболевания.

Нарушения в обменных процессах, иммунной системе, ослабление защитных функций, дефицит сахара из-за эхинококков способны привести к беспрецедентным последствиям. Летальный исход — не исключение. Особо опасен эхинококкоз у детей, тем более, что родители думают о паразитах как о причине проблем в последнюю очередь. Поэтому знать о симптомах и способах избавления от паразита очень важно. Рассмотрим цикл эхинококка и механику заражения гельминтом.


glist ehinokokk.gif

фото глиста эхинококка


2. Эхинококк и заболевания, которые он вызывает

2.1 Эхинококк как возбудитель заболевания

Эхинококк — один из мелких червей-паразитов. Это устойчивый к внешней среде возбудитель опасного заболевания — эхинококкоза. Тип и класс эхинококка определены давно, он знаком биологам, но, к сожалению, мало известен врачам. Паразит относится к ленточным червям, которых можно рассмотреть невооруженным глазом. Размеры эхинококка— до нескольких миллиметров, яйца и цисты гораздо меньше. Порой встречаются эхинококки длиной до сантиметра, но даже в этом случае выявить их непросто. Паразит относится к цепням и, проникнув в организм, поражает множество ключевых органов, от печени до головного мозга. Червь состоит из:

  • сколекса эхинококка— это головка, на которой расположены четыре присоски и крючья в два ряда;
  • шейки;
  • члеников разной степени зрелости — в самых зрелых находится матка и яйца эхинококка.

mrt-ehinokokk.jpg

эхинококк мрт


Жизненный цикл эхинококка— последовательное развитие от яйца до взрослой особи. На каждой из стадий червь наносит вред организму человека. Яйца содержат онкосферы эхинококка, в которых паразиты развиваются до личинок. Гибнут образования под воздействием яркого солнечного света, экстремальные температуры и агрессивные кислые и щелочные среды на них действуют мало.

Личиночная стадия развития называется финной или ларвоцистой эхинококка. Именно она становится причиной болезней.

В патологии ключевое значение имеют образующиеся финны эхинококка, а именно Echinococcus granularis. Они вызывают эхинококкоз в гидатидозной форме. Разновидность Echinococcus multilocularis — причина альвеококкозной формы заболевания. У возбудителей есть морфологические, биологические отличия (хотя ЖЦ эхинококков одинаков), они развиваются в разных органах и тканях:

  • гидатидозная форма провоцирует эхинококкоз печени, легких, других органов;
  • альвеококкозные разновидности поражают преимущественно прилегающие ткани.

Альвеококкоз (вызываемое возбудителем заболевание) встречается реже, чем гидатидозные формы, но способы заражения эхинококком идентичны в обоих случаях. Это прямая передача от носителей здоровым людям и животным. При этом от очага поражения зависит проявление. Выяснив, какие симптомы у человека вызывает эхинококк в печени, а какие — к примеру, в легких, можно выработать верную стратегию борьбы с ним.



tsikl ehinokokka-500x493.png

жизненный цикл эхинококка


2.2 Как эхинококк передается от носителей человеку

Домашние и дикие животные — те, кто является основным хозяином при эхинококкозе— переносят возбудителя заболеваний в кишечнике, передавая его людям. Даже в начале развития одноклеточный эхинококк может транспортироваться от ключевых носителей к неокончательным. В числе прочих, промежуточным хозяином эхинококка является человек, а также домашние животные. Основные носители паразита — это псовые, в которых гельминт живет в виде взрослых эхинококков размером до 5-10 мм. К ним относятся волки, собаки. Встречается эхинококк у лисиц и шакалов, а также у:

  • кошачьих — домашних кошек, рысей, львов;
  • грызунов — это промежуточные хозяева эхинококка;
  • мелкого и крупного рогатого скота — возбудитель эхинококкоза может содержаться в его мясе;
  • диких оленей, лосей и прочих парнокопытных.

ehinokokkoz u cheloveka.jpg
эхинококкоз у человека


Окончательный хозяин эхинококка— как правило, представитель семейства псовых. Однако, наибольший вред людям наносят промежуточные носители цестод — грызуны, скот. Можно ли заразиться эхинококком от больного человека, который невольно стал «хозяином» червя? Да, и это отдельная масштабная проблема. Заражение эхинококком может охватить семью или социальную группу, поэтому регулярная профилактика имеет первостепенное значение.

Выявлено, что ленточный гельминт-возбудитель локализуется, как правило, на территории стран Африки, Средней Азии и Ближнего Востока. Случаи заражения человека эхинококкозом нередки в южных российских регионах, а также в Сибири и Якутии. Наблюдались очаги патологии в Австралии и Новой Зеландии, Латинской Америке. Учитывая пути передачи эхинококка, можно говорить о планетарном масштабе проблемы.

tsvet ehinokokka.jpg

цвет эхинококка


2.3. Механизм и пути заражения эхинококком

Личинка эхинококка в организмы носителей попадает преимущественно алиментарным и контактно-бытовым путем. Инвазия происходит при:

  • близком контакте с больными животными — нередко эхинококк паразитирует в теле человека-хозяина;
  • прогулкам в местности обитания зараженных диких животных — сферы, цисты эхинококка могут проникнуть в организм при сборе грибов, фруктов и ягод, употреблении их в пищу без мытья;
  • работе на скотобойне, в цехе обработки туш — эхинококк в мясе встречается нередко;
  • употреблении в пищу блюд (шашлыков, печени) без достаточной термической обработки — это распространенный способ передачи эхинококка.

На всех стадиях цикла развития эхинококка паразит представляет опасность. Механическое заражение промежуточного хозяина происходит, как правило, при заглатывании онкосфер. Строение эхинококка таково, что членик с созревшими яйцами отрывается от особи и их оболочки разрушаются. Зародыши, которые образуются из онкосфер, проникают в слизистую ЖКТ (кишечник) и систему портального кровообращения. Поэтому при выявлении эхинококкоза УЗИ печени, почек и других органов не даст стопроцентно достоверного результата.

lichinka ehinokokka.jpg

личинка эхинококка


Некоторая часть зародышей попадает в большой круг кровообращения. Откуда проникают в жизненно важные органы, вызывая заболевания легких, печени, а также:

  • эхинококкоз селезенки;
  • эхинококкоз органов малого таза;
  • эхинококкоз головного мозга;
  • эхинококкоз кишечника, сальника, почек и так далее.

Чаще всего поражает эхинококк печеньи легкие. Однако, страдают не только эти органы, но и здоровье в целом. При локализации в организме человека эхинококк поражает его разными путями.

vzroslaya osob ehinokokka.jpg

взрослая особь эхинококка


3. Эхинококкоз и причины поражения организма

Заболевание, известное как эхинококкоз, провоцируют финны эхинококка— паразиты в личиночной стадии. Из-за них образуются кисты, многокамерные очаги альвеолярного поражения, растущие в тканях. Если личинки не подвергаются фагоцитированию, не разрушаются, они образуют кисты. Они представляют собой однокамерные эхинококковые образования, в которых присутствуют:

  • наружная слоистая кутикула из хитина, внутри которой происходит развитие эхинококка;
  • внутренний герминативный слой, где черви-эхинококки «плавают» в зародышевом состоянии;
  • прозрачная жидкость (янтарная кислота без белка), заполняющая кисту.

Гидатидозный эхинококкоз вызывает однокамерные образования. Эта болезнь встречается чаще альвеолярной и поражает, прежде всего, печень. В органах и покровах тела эхинококк образует вокруг кист капсулы, наращивая соединительную ткань. В пузырьках постепенно увеличивается количество жидкости. В результате этого они разрастаются, порой до огромных размеров, провоцируя кистозный эхинококкоз. В пузырях развиваются сколексы — так называемый гидативный песок. Его можно обнаружить при КТ-исследованиях на эхинококкоз. Далее возникают дочерние и внучатые кисты, завершая жизненный цикл паразита. Размножение эхинококка и его передача из организма зараженного человека возможно при нарушении целостности пузырей.

Многокамерные кисты имеют иное строение. Если однокамерный эхинококк внутри человека развивается в виде единого пузыря, то альвеолярная форма продуцирует множественные очаги с проявлением некроза вокруг них. Кисты растут почкованием не внутрь материнских образований, а наружу. Клиническая картина распространения эхинококка в этом случае схожа с появлением злокачественных новообразований. Эхинококкоз как болезнь альвеарного типа развивается из-за движения паразитов по току крови, лимфатическим протокам наподобие метастаза. Кисты не локализуются в печени и других органах, как однокамерные образования, а образуют скопления отдельных пузырей. При этом возникает альвеарная форма болезни также, как происходит заражение человека эхинококкозом гидатидозного типа.

ehinokokk na uzi-500x326.jpg

эхинококк на узи

Болезнь, по имеющимся данным, раньше возникала преимущественно у женщин. Однако, в последние два десятилетия картина эхинококковых поражений изменилась. Теперь заболевания поражают в равной доле представителей обоих полов.  Образования могут расти на протяжении десятилетий, проявляясь симптомами, которые врачи не связывают с присутствием паразитов. Очень опасны рецидивные стадии эхинококкоза, вызванные остаточными и промежуточными формами гельминта. 

На скорость увеличения очагов влияет состояние иммунитета, поэтому эхинококк у ребенка, пожилого человека особенно опасен. Также масштаб поражения гельминтом увеличивает наличие хронических болезней. Патогенное действие эхинококков клинически проявляется по-разному.

Клинические проявления эхинококкоза

4.1 Стадии и особенности эхинококкоза

Существуют следующие стадии эхинококкоза:

  • латентная, на которой происходит заражение человека эхинококком— она протекает без симптомов и заканчивается образованием кист;
  • возникновение отдельных симптомов, жалоб на ухудшение самочувствия — признаки эхинококка у человека выражены мало;
  • выраженное проявление клинической картины — максимально «заметная» стадия цикла развития эхинококкоза;
  • осложнения эхинококкоза.

Латентный период болезни, который длится 5-20 лет, может проявляться разнородными симптомами или не отслеживаться вообще. При поражении гидатидным эхинококкозом печении легких в 91% случаев паразитов находят случайно. С ростом числа средств выявления и профилактики эхинококка его обнаруживают на более ранних стадиях, чем два-три десятилетия назад.

ehinokokkoz-pecheni-500x249.jpg

эхинококкоз печени


Вес пузырей, которые образуют черви, подчас доходит до 16 кг, они давят на окружающие ткани, изменяя их. При этом клинические проявления эхинококкоза не выражены, что затрудняет диагностику. Внутри кист находятся множество особей, а жидкость, которая проникает в кровеносную систему, угнетающе действует на все функции организма. Без лечения эхинококковые болезниприводят к полному истощению, а в ряде случаев — и к летальному исходу. Смерть наступает при разрывах крупных кист, при этом пациент «до последнего» может не замечать паразитов. Признаки эхинококкоза у человека, а также клинические проявления заболевания зависят от места локализации гельминтов и размеров кист. По ним можно выявить характерные симптомы и определить, что тот или иной орган поражен гельминтами.

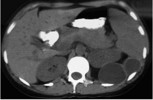
4.2 Эхинококкоз печени

Печеночный эхинококк— наиболее распространенный случай присутствия паразита в организме. Эхинококкоз печени как заболевание известен больше, чем другие поражения этим гельминтом. Орган увеличивается в размерах, может развиться его абсцесс, вторичные инфекции, вызванные нагноением кист.

Обосновавшийся в печени человека эхинококк образует опухоли, которые сдавливают желчные протоки, что приводит к желтушности кожи, которая сопровождается зудом. Особенно болезненно он проявляется, если паразит поразил организм ребенка, но эхинококкоз печени у детей опасен не только поэтому. Из-за кист в брюшной полости скапливается жидкость, а их разрыв провоцирует анафилактический шок. В органе чаще всего возникает эхинококкоз гидатидного, а не альвеолярного типа.

Лечение эхинококка в печени затруднено тем, что осмотр и пальпация позволяют определить лишь болезненные участки, а диарея, тошнота и слабость не связываются с присутствием гельминтов. Без вмешательства болезнь ведет к накапливанию билирубина, учащению обмороков и прочим симптомам эхинококкоза печени. Если проблему не устранить ситуация дойдет до хирургического вмешательства. Операции из-за эхинококка в печени могут понадобиться, если из-за попадания содержимого пузырей в брюшную полость и развития перитонита.

4.3 Эхинококкоз легких

Эхинококкоз как заболевание легких встречается ненамного реже поражения печени. Кисты деформируют грудную клетку, ослабляют дыхание. Однако, диагностика и лечение эхинококко зазатруднены из-за схожести проявлений заболевания с симптомами туберкулеза. Кровянистые вкрапления в мокроте, одышку, боли в груди, кашель нередко принимают за онкологию. Без оперативного лечения эхинококкоза может развиться плеврит, нагноения и разрывы кист, другие осложнения. Если образования прорываются в область плевры, возникает анафилактичский шок и в большинстве случаев больной умирает. Эхинококкоз легких у детей может протекать тяжелее, чем у взрослых, и развиваться до опасных клинических стадий быстрее.

ehhinokokkoz-legkih-500x375.jpg

эхинококкоз легких


4.4 Эхинококкоз мозга

Эхинококк в головном мозге часто дает клиническую картину, схожую с проявлениями шизофрении. Рост пузыря активизирует общие и очаговые неврологические проявления. Симптомы эхинококкоза мозга редко «расшифровывают» как присутствие паразитов, но болезнь имеет собственную клиническую картину. В 90% случаев из-за эхинококкоза мозга развивается гипертензионный синдром с головокружением, болями, даже эпилептическими припадками. Среди психических расстройств, вызываемых паразитом — бредовые состояния, тяжелые депрессии, слабоумие. Эхинококк в мозге провоцирует судороги, парезы. Клиническая картина поражения тяжелая, болезнь быстро прогрессирует. При расшифровке анализа крови на эхинококк в головном мозге практически всегда обнаруживают эозинофилию.

4.5 Эхинококкоз почек

Особенность эхинококка в почках — образование кист в корковом веществе. Путь передачи эхинококкоза— ток артериальной крови. Присутствие паразита вызывает интоксикацию, расстройства мочеиспускания, колики. Гельминты в почках — одна из причин эхинококкоза мочеполовой системы, с которой связан орган. Без лечения у пациента может обостриться пиелонефрит, появятся постоянные боли в подреберье, поясничном отделе. Обрывки сколексов иногда обнаруживаются в моче, но в целом симптомы заражения эхинококком часто путают с другими заболеваниями.


finny ehinokokka-500x375.jpg

финны эхинококка


В других органах — сердце, селезенке — черви локализуются гораздо реже, но и эти случаи нельзя исключать. Без лечения эхинококка препаратами, дающими комплексный эффект, можно столкнуться с цианозом конечностей, легочной эмболией и другими смертельно опасными недугами. Подбор средств — сложная проблема. Отзывы о лечении эхинококкоза народными средствами разноречивы и, как правило, негативны, а традиционная медицина чаще «бросает силы» на устранение симптомов, считая их проявлениями иных болезней. Однако, поражая организм, паразит дает довольно четкую «картину», по которой можно выявить его присутствие.

5. Характерные симптомы эхинококкоза и способы выявления паразита в организме

5.1 Определение присутствия эхинококка в организме по симптомам

Для человека, задумавшегося о проблеме гельминтов, наиболее простой способ диагностики болезней — это анализ симптоматики. Безусловно, можно обратиться к лабораторной диагностике эхинококкоза, но нужно быть готовым к ложноотрицательному результату. Аналитические мощности на сегодняшний день недостаточно четко определяют, есть ли паразиты в теле или нет. Сдав кровь на эхинококк, пациент не получает всей нужной информации.

yaitsa ehinokokka.jpg

яйца эхинококка


Многочисленные наблюдения неравнодушных ученых и медицинских работников позволили сформировать достоверный и информативный список признаков, характерных для эхинококка. К ним относятся:

  • Участившиеся ОРЗ и длящиеся годами хронические заболевания. Это распространенные у человека симптомы эхинококка и лечение недугов должно включать не только «физическое» устранение паразитов, но и восстановление баланса микроэлементов. Его нарушение вызывает системное ухудшение самочувствия.
  • Повышенная утомляемость, ощутимое и «беспричинное» снижение работоспособности. Плоские черви эхинококки, проникая в организм, отравляют его токсичными продуктами своей жизнедеятельности, что влечет за собой данные симптомы. Дефицит микроэлементов, вызванный присутствием паразита, ухудшает проблему.
  • Ухудшившийся внешний вид. Угри, папилломы, себорея, сыпь при эхинококке возникают очень часто. При заражении ЖКТ паразитами становятся ломкими ногти и волосы, появляются трещины на пятках, высыхает кожа. При проникновении в организм эхинококка покровы становятся грубее, а преждевременные морщины — заметнее. 
  • Воспалительные инфекции — частые тонзиллиты, ангины, синуситы. Токсичные выделения не позволяют иммунной системе справиться с проблемой. Поэтому при выявлении симптомов эхинококкоза у человека и лечении обнаруженной болезни нужно уделить внимание восстановлению иммунитета.
  • Проблемы с ЖКТ. Гельминты эхинококков вызывают вздутия, нарушения стула (запоры, диарею), гастрокишечные синдромы.
  • Аллергии — прежде всего, дерматические проявления. Переносчики эхинококкоза понижают защитные способности иммунной системы, что провоцирует высыпания, повышение чувствительности к аллергенам, более тяжелое течение сенных лихорадок и крапивниц.
  • Анемии, нарушения сна, неврозы, боли в суставах и мышцах и другие симптомы, которые вызывает эхинококкоз на разных стадиях.

После того, как человек заражается эхинококком, он начинает испытывать общее недомогание, на фоне которого развиваются специфичные симптомы. Кроме анемии, ОРЗ, сыпи при эхинококкозе возникают тошнота, рвота после тяжелой и острой пищи. Также появляются боли в животе со смещением в правое подреберье — это признаки гидатидозного эхинококкоза печени.

При поражении легких усиливается надсадный кашель, часто с неприятным запахом. На поздних стадиях эхинококкоз вызывает тяжелые пневмонии. Разрыв крупных кист в любом из органов влечет за собой шоковое состояние, в отдельных случаях — смерть. Лечение эхинококка медикаментами должно быть направлено не столько на ликвидацию симптома, сколько на комплексное оздоровление. Устранить разрушительные последствия пребывания червей в теле также важно, как и «убрать» их из него.

stroenie ehinokokka-500x288.jpg

строение эхинококка


5.2 Прогрессивная инструментальная диагностика эхинококкоза

Обнаружить присутствие паразитических червей эхинококков в организме можно с помощью прогрессивных методик и новейшего оборудования — «ИридоСкрина» от компании НПК «Оптисалт». Сканирование радужки глаза дает исчерпывающую информацию о функциональном состоянии внутренних органов, ЦНС, ЖКТ, а в целом результаты исследования позволяют:

  • определить уровень токсической нагрузки на организм: повышение ее уровня — один из ярких симптомов эхинококкоза и лечение должно быть назначено немедленно;
  • оценить степень отклонения микроэлементов от нормы — разрушая ключевой «строительный» материал, эхинококк вызывает ослабление иммунитета и много опасных болезней;
  • узнать о состоянии печени, сердца, почек, легких и других органов и систем организма.


ehinokokk-v-pecheni.jpg
эхинококк в печени


Доказано, что любое поражение эхинококком или иным паразитом вызывает токсико-аллергическое раздражение, активизирующее потоки рефлекторных импульсов по ЦНС. Они передаются на радужку глаза — в определенную зону, представляющую собой проекцию пораженного органа. Исследование с помощью иридологических методов позволяет точно определить степень изменений в организме. Это эффективная мера профилактики эхинококкоза,обнаружения и борьбы с паразитом.

6. Комплексные противопаразитарные препараты — профилактическое, восстанавливающее воздействие и борьба с эхинококком

Оккупируя человеческий организм, эхинококки в личиночной стадиии взрослые особи поглощают питательные вещества, и прежде всего — микроэлементы. Их недостаток угнетает иммунную систему и вызывает деградационные заболевания. Поэтому «выборочное» лечение эхинококкоза таблетками, изгоняющими паразитов, не дает нужного результата. Можно ли полностью вылечиться от эхинококка? Да, если подойти к проблеме системно:

  • обнаружить локализацию эхинококка и очистить от него тело;
  • нормализовать микрофлору;
  • восстановить иммунитет и восполнить потребность в микроэлементах (селене, хроме, цинке, меди, марганце и так далее), количество которых из-за червей сильно уменьшается.


эхинококк в человеке
эхинококк в человеке

Классические антигельминтные лекарства при эхинококкозе дают, в лучшем случае, временный эффект. Они «работают» в ЖКТ, тогда как в органах яйца, цисты, личинки продолжают существовать. Народные средства и методы борьбы с эхинококком включают проверенные на многовековой практике целебные травы. Но просто травы заваренные и используемые для лечения не дают 100% результата, потому что их можно применять только короткое время, за это время личинки не упевают выйти из организма. Сегодня их используют в качестве профилактики, поддерживающих средств, дополняющих основные препараты. К классическим противоглистным средствам натурального происхождения относят:

  • полынь — ее высушивают, измельчают и принимают ежедневно раз в сутки в течение трех-четырех месяцев, постепенно увеличивая норму со щепотки до чайной ложки;
  • пижма: сушеные растения заливают кипятком и пьют по 10 мл настоя за 20 минут до приема пищи три-четыре раза в день (настой противопоказан при беременности);
  • лимон — цедру или плод целиком употребляют натощак в сочетании с имбирем или смесью чеснока с медом, заливая кипятком;
  • черный перец горошком и другие средства.

В народной медицине,  основывающейся на многовековом изучении воздействия натуральных веществ на организм, используются растительные ингредиенты и их смеси (например, настой из двух частей полыни с одной частью пижмы), горькие тоники и отвары.

К эмпирическому анализу древних знахарей сегодня добавились результаты научных исследований, которые легли в основу разработки противопаразитарно-оздоровительных препаратов НПК «Оптисалт». Они действуют комплексно, способствуя выводу гельминтов, оздоровлению организма и препятствуя распространению эхинококкоза.

Препараты компании «Оптисалт» внесены в Федеральный справочник «Здравоохранение России» и награждены дипломами как лучшие антигельминтики. Выбирая, чем лечить эхинококкоз у человека, обратите внимание на эффективные и безопасные средства, рассчитанные на длительный прием. Долгий курс — обязательное условие борьбы с паразитами. Эхинококк заразен, способен адаптироваться к любым условиям, и на него нужно воздействовать интенсивно и постоянно с помощью:

  • сапонинов, иридоидов, акоринов, ахилленов, содержащих вещества, действующие на патогенную флору;
  • азулена, оказывающего регенерирующий и противовоспалительный эффект (он необходим, так как вызывающие эхинококкоз паразиты прокусывают стенки кишечника);
  • микроэлементов, регулирующих биохимические процессы в организме.


антипаразитарный комплекс.jpg


Все эти составляющие есть в препаратах от эхинококка и других паразитов, выпускаемых НПК «Оптисалт» — Метосепт плюс, Витанорм плюс, Бактрум, Регесол и прочих. Средства прошли клиническую апробацию, одобрены Минздравом РФ и мировой медицинской наукой.

Так как обнаружить эхинококк сложно, необходимо принимать профилактические меры. Для этого понадобится один-два раза в год проходит трехмесячные курсы приема препаратов Метосепт плюс, Витанорм плюс, Фомидан с недельным перерывом между каждым календарным месяцем. Препараты от эхинококкоза НПК «Оптисалт» в 95% случаев не вызывают никаких побочных проявлений. Редко могут наблюдаться небольшая слабость, насморк и другие признаки «пониженного КПД» почек и кишечника, это означает, что паразитов много в организме, происходит их массовая гибель и токсины стремятся на выход.

При заболеваниях препараты принимают курсом от шести месяцев с недельными перерывами между ними. Пить комплексы можно до результата. С помощью капсул Метосепт плюс и Витанорм также рекомендуют:

  • делать спринцевания;
  • обрабатывать содержимым раны и порезы, чтобы исключить опасность заражений, воспалений;
  • проводить профилактику перед дальними поездками (пропить курс заранее).

Препараты от НПК «Оптисалт» «обрежут» пути заражения эхинококкозом и помогут восстановить организм. Действенный, прогрессивный и безопасный комплекс поможет избежать серьезной, порой смертельной опасности, которую пациенты и врачи напрасно недооценивают.